Ⅱ. Gray-Scale 경직장 전립선 초음파검사(TRUS, Transrectal ultrasonography of the prostate)
TRUS는 전립선을 평가하기 위한 가장 흔하고 유용한 영상검사법 중 하나이다. TRUS를 통해 전립선의 구역 해부학, 정낭, 사정관, 요도 등을 평가할 수 있다. 또한 전립선의 여러 질환들을 확인할 수 있다.
1. 실제 검사 방법
1) Probe 선택 및 기구 준비
TRUS에서 초음파 probe는 6-10 MHz의 high-frequency probe를 사용하는데 가장 흔히 사용되는 것은 7.5 MHz이다. 이 probe는 전립선의
transverse, sagittal plane을 잘 관찰할 수 있다. TRUS를 시행하기 전 probe에는 condom이나 probe cover를 초음파검사용 젤과 함께 씌워 오염을 방지한다.
TRUS를 위한 probe로는 endfire transducer가 가장 적합하다.
2) 환자 자세
환자는 침대에서 좌측으로 돌아누운 후 양 무릎을 가슴 쪽으로 당긴 자세를 취한다. Lithotomy position으로 시행할 수도 있다.
3) 직장수지검사
Probe를 직장으로 삽입하기 전에 직장수지검사를 시행한다. 직장수지검사를 통해 직장항문 질환을 배제시키며, 전립선의 형태, 크기, 통증, 종물이나 경도 등을 검사할 수 있다.
2. 경직장 초음파에서 정상 전립선 소견
• 전방섬유근구역은 대개 저에코로 보이고 이행구역도 요도 주위에서 저에코로 보인다.
• 중심구역과 주변구역은 초음파검사에서 에코는 유사하며 중등도에코를 보이거나 고에코를 보인다.
• 요도는 전립선 초음파에서 중요한 표지물(landmark)이 된다.
• 젊은 성인에서 요도는 정구 수준(verumontanum level)에서 약 35도정도 앞쪽으로 굽은 형태를 띤다.
• 초음파에서 내괄약근이 상부 전립선요도에서 저에코 링 형태로 보일 수 있다.
• 전립선 피막은 잘 구분되는 고에코 조직으로 관찰된다.
• 정낭과 정관은 얇은 벽을 가진 관상 구조물로 보인다. 정관의 팽대는 정낭과 합쳐저서 사정관을 형성한다.
• 정낭은 중앙부에서 좁아지는‘ beak sign’을 관찰할 수 있다. 일반적으로 정낭의 길이는 27-50 mm, 두께는 12-15 mm 정도 된다.
• Color Doppler를 활용하여 주위 혈관 구조나 신경혈관다발(neurovascular bundle)을 확인할 수 있다. 특히, 신경혈관다발은 그 주위로 국소마취제를 주입하여 전립선 및 주위 조직을 마취할 때 확인해야 하는 구조물이다.
정상 전립선 소견. (a-c) transverse view, (d) sagittal view.
SV; seminal vesicle, CZ; central zone, TZ; transitional zone, PZ; peripheral zone,B; bladder, U; urethra
• 전립선 크기 측정
TRUS의 가장 큰 목적 중에 하나는 전립선의 크기를 측정하는 것이다. Transverse view에서 너비(width)와 높이(height)를 측정하고 sagittal view에서 길이(length; bladder neck ~ apex)를 측정한 후 편장형타원체공식(ellipsoid volume formula)을 이용하여 계산한다.
전립선 용적 = Ω/6 x H x W x L (Ω/6 ≈ 0.523)
대부분의 초음파 기계는 이 공식을 자동으로 계산해 준다.
3. 양성 질환(Benign disease) 소견
1) 전립선비대증
• 95%의 전립선비대증은 이행대에서 발생하고 5% 정도만이 요도 주위 선조직에서 발생한다.
• 전립선비대증은 양측의 선종이 대부분 대칭적으로 커지며, 이행구역이나 요도 주위 구역에서 발생한다.
• 조직학적 양상에 따라 다양하게 보이는데 결절성으로 보이는 경우도 있고 미만성 확대 소견을 보일 수도 있다. 결절은 종종 저에코로 보이지만 선조직과 간질조직의 성분에 따라 이질적인 에코를 보일 수도 있어서 전립선암과 구분하기 힘들다.
• 전립선 피막의 고에코가 연속성이 있으며, 커진 선종으로 인해 전체 전립선 모양이 왜곡될 수 있다.
• 요도 주위 선조직의 비대로 인해 방광 기저부로 자라난 전립선 선종을 “median lobe”라고 한다.
•“ surgical capsule”은 전립선 선종에 의해 눌리는 주변구역과의 사이에 확연히 나타나는 경계부를 일컫는다. 전립선비대증 수술 시 이상적 절제면에 해당된다.
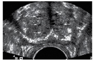
HoLEP 수술 전후
• 전립선석회화(calcification)는“ surgical capsule” 또는 요도 주변에서 주로 관찰된다.
• 정낭의 관 확장증(ductal ectasia)도 전립선비대증과 연관이 있다. 커진 내부 선조직이 사정관을 압박하여 상대적인 폐쇄를 일으킨다. 이로 인해 정낭과 정관의 관 조직이 확장된다.
• 낭성 변화는 내부 선조직에서 대부분 발생한다. 낭성 변화는 전립선관의 폐색으로 형성되는데, 초음파에서 이행구역에 위치한 다발성 무에코낭종 소견을 관찰할 수 있다.
• 전립선비대증은 전립선 내 정상 혈류의 왜곡과 연관된다. 정상적으로 피막혈류와 중앙의 요도로 향해가는 방사형 혈류, 요도 주위의 적은 양의 혈류가 관찰되는데, 전립선비대증의 경우 주위 혈류가 왜곡되고 과증식된 내부 선조직의 혈류가 증가되는 것을 관찰할 수 있다.
2) 전립선 염증성 질환
• 중요한 전립선 염증 소견은 석회화와 액체 저류(fluid collection)이다. 석회화는 반복되는 염증의 근원이 될 수 있으며, 액체 저류와 동반된 주위 혈류량 증가는 농양을 의미한다.
• 급성 전립선염은 전립선 실질의 에코 감소와 비대 소견을 보이며, color doppler에서 전립선 주위 정맥총의 확장이나 전립선 실질 내 혈류의 증가를 볼 수 있다.
• 만성 전립선염은 전립선 실질의 섬유화로 인한 소견이 나타나는데, 전립선의 주변구역에 단일 또는 다발성의 국소성 저에코 병변을 보이는 경우가 가장 흔하다.
3) 선천성 기형과 낭성 질환
• 흔히 관찰되는 중앙부 낭종(midline cyst)은 소실 낭종(utricular cyst), 뮬러관 낭종(mullerian cyst), 사정관 낭종(ejaculatory duct cyst) 등 모두를 일컫는다. 이 중 사정관 낭종은 정관, 정낭과 연결되어 내부에 정자를 포함하고, 불임과 연관된다.
4) 불임
• 양측의 정낭, 정관 및 사정관의 대칭적 발생과 폐색 등을 살펴야 한다.
4. 전립선암(Prostate cancer) 소견
• 전립선암은 대부분 주변구역에서 생긴다.
• 전립선암의 약 60-70%에서 정상적인 주변구역에 비해 저에코를 보인다.
- 하지만 40% 정도는 정상 주변구역과 비교하여 동등한 에코를 보이므로 저에코라고 전립선암으로 단정하기도 어렵다(양성예측도 18~52%).
• 저에코 병변은 직장수지검사 등으로 경도를 측정해보는 것이 특이도를 높일 수 있는 방법이다.
• 전립선 피막의 비틀림이나 불연속성은 진행된 전립선암의 중요한 진단 요소이다.
• 전립선암 병소로 인해 전립선 모양의 비대칭성을 관찰할 수 있다.


