Ⅲ. 기본적인 영상 조절

Urowki
둘러보기로 이동 검색으로 이동

이제부터 초음파의 여러 장치를 이용하여 보려는 장기를 화면에 잘 보이게 하는 영상 조절에 대해 알아본다.

기본적인 영상 조절 ① : 탐촉자와 주파수 선택

우선 보고자 하는 장기의 깊이와 해상도를 고려해서 탐촉자를 선택한다. 보고자 하는 부위의 깊이까지 투과할 수 있는 가장 높은 초음파 주파수를 선택한다. 피부에서 가까이 위치한 갑상선, 유방, 고환은 7.5-12 MHz가 적당하며, 피부에서 12-15 cm 떨어진 복부 및 골반은 2-4 MHz가 적당하다. 탐촉자 내에서도 일정 범위의 주파수를 조절할 수 있으므로 보고자 하는 깊이까지 투과할 수 있는 가장 높은 주파수를 선택한다.

초음파 검사 장비의 기본구조 9.jpg

초음파 검사 장비의 기본구조 10.jpg

기본적인 영상 조절 ② : 깊이(Depth) 조절

깊이 조절은 image field의 크기를 조절하는 것이다. 보고자 하는 장기를 볼 수 있는 최소의 깊이를 선택하는 것이 좋다. 너무 깊은 영상을 선택하게 되면, 장기도 작게 보일 뿐만 아니라 화면 발생률이 낮아져 초음파 영상이 느려진다.

기본적인 영상 조절 ③ : 초점영역(Focus zone) 조절

초점영역은 초음파 음속이 가장 집중되는 부분으로 가장 좋은 해상도가 제공되는 부분이다. 초음파 기계에 따라서 초점영역을 여러 개 선택할 수 있는 multi-focus 기능이 있는데, 높은 해상도 범위가 넓어지는 장점이 있으나 화면 발생률이 낮아져 영상이 느려진다.

초음파 검사 장비의 기본구조 11.jpg

초음파 검사 장비의 기본구조 12.jpg

기본적인 영상 조절 ④ : 전체 게인(Overall gain) 조절

깊이에 관계없이 반사되어 돌아오는 모든 에코를 동일하게 증폭시키는 것을 전체 게인이라 하며 통상적으로‘ 게인’이라고 말한다. 전체 게인을 너무 높이면 실제 장기에서 돌아오는 초음파 에코뿐만 아니라 산란되어 오는 에코도 같이 증가하기 때문에 병변의 선명도가 떨어진다. 반대로 전체 게인을 너무 낮추면 산란 에코는 제거할 수 있지만, 실제 필요한 에코까지 제거되므로 정확한 정보를 얻을 수 없다.

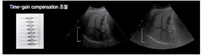
기본적인 영상 조절 ⑤ : 시간-게인 조절(TGC)

초음파 검사 장비의 기본구조 13.jpg

시간-게인 조절장치는 특정 깊이의 에코를 선택적으로 조절하여, 원하는 부위의 영상의 밝기를 조절하는 데 사용되며 일반적으로 TGC라 부른다. 음파가 탐촉자에서 멀어질수록 감쇠현상에 의해 강도가 현저히 떨어져 화면에 가까운 곳은 밝게, 먼 곳은 어둡게 나타나게 되므로 초음파 기계에서 자동적으로 TGC control을 해준다. 하지만, 추가적으로 수동 시간-게인 조절장치를 이용하여 먼 곳의 정보를 선택적으로 증폭시켜 밝기를 조절할 수 있다.

기본적인 영상 조절 : 정리

정리를 하면 가장 먼저 알맞은 탐촉자를 선택하고, 초음파 영상을 보며 Depth를 조정하여 보려는 장기를 화면의 중심에 위치시킨다. Focus를 가장 잘 보고 싶은 부위에 위치시켜 그 부위의 해상도를 증가시키고, Gain과 TGC를 조정하여 화면 및 보려는 장기의 밝기를 적당히 조정한다. 이 영상 조절들은 초음파에서 가장 기본적인 것이며 중요하다.

초음파 검사 장비의 기본구조 14.jpg