Ⅴ. 기타 음경질환에서의 초음파 영상
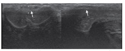
페이로니병은 음경 백막의 증식성 섬유화에 따른 것으로, 흑백모드(gray scale)로 관찰할 때 등에코성(isoechoic)으로 나타나 주변조직과 감별이 되지 않을 수 있으므로 반드시 촉진을 통해 결절을 확인하는 것이 중요하다. 부종이나 석회화가 동반되는 경우에는 고에코성(high echogenic)으로 나타나 쉽게 확인할 수 있다. 이런 석회화는 발기유발제 주사 후 칼라도플러모드를 통해 혈관의 석회화와 감별할 수 있다(그림 10).
그림 10. 페이로니병(Left: hyperechoic plaque, Right: isoechoic plaque)
그림 11. 저혈류성 지속발기증(No flow within the corpora cavernosa of the penis, and hypoechoic collection due to coagulum)
지속발기증의 경우, 저혈류성(low flow type)은 흑백모드에서는 혈전과 부종으로 저에코성부터 고에코성까지 다양하게 관찰되며 칼라도플러모드에서는 배부동정맥(dorsal artery and vein)의 혈류는 관찰되지만 해면체동맥의 혈류는 없거나 극히 낮은 정도로 관찰된다(그림 11). 고혈류성(high flow type)에서는 칼라도플러모드에서 증가된 해면체 동맥혈류가 관찰된다.
그림 12. 음경골절
음경골절은 병력 청취와 진찰만으로 진단이 가능하다. 초음파에서는 파열에 따른 출혈로 발생한 혈종이 저에코성 병변으로 관찰되며, 백막의 파열로 고에코성으로 나타나는 백막의 단절이 관찰된다(그림 12). 음경해면체 내의 동정맥기형은 주로 손상에 의해 발생하며 고혈류성 지속발기증을 유발한다. 칼라도플러 초음파로 arteriovenous 또는 arteriosinusoidal fistula를 관찰할 수 있다.
음경혈종은 주로 외부 충격에 의한 손상으로 발생하는데, 음경골절과 달리 백막이 온전하여 단절되지 않고 정상적으로 관찰되고 백막 외측으로 저에코성 또는 복합 에코성의 저류병변이 관찰된다. 하지만, 백막 파열 여부를 확신할 수 없는 경우가 많으므로 초음파검사만으로는 진단하기 어렵고, 해면체조영술이나 MRI 등의 타 영상검사가 필요하거나 검사 없이 시험개복이 필요하기도 하다.

