제 2장. 비뇨기계 응급실 질환

Urowki
둘러보기로 이동 검색으로 이동

stone

역학: 서구의 경우 평생 유병률은 1 ~ 15%까지 다양하며, 국내의 경우 평생 유병률은 3.5%로 보고 되고 있음

위험인자

(1) 유전:
① 인종 (아메리칸 인디언, 아프리카 흑인, 이스라엘에는 드물게 발생)
② 다인자적 결핍
③ familial renal tubular acidosis와 cystinuria, hereditary xanthinuria 등
(2) 연령, 성:
① 20-60대에 호발. 남녀비는 약 2:1의 비율
② 소아에선 남녀비가 비슷
(3) 지리조건:
① 고산지대, 사막, 열대지방에서 많이 발생
② 지역마다 발생률 및 stone 의 성분이 다른 것은 유전적 성향이 다른 것과 함께 음식 문화, 온도, 습도 등의 환경적인 요인들이 복합적으로 나타난 결과
(4) 날씨 및 계절:
① 연평균 기온이 가장 높은 시기 1-2개월 후 가장 많이 발생.
② 고온으로 인한 다한으로 소변이 고농축되고 소변량 감소, stone 형성 분자들의 농도 증가, 소변의 산성화로 결정화를 촉진
③ 햇볕 노출시 비타민 D3의 형성이 증가되어 urinary calcium excretion 증가
(5) 수분섭취:
① 수분섭취로 이뇨가 증가하면 요로결석 결정이 소변에 머무르는 시간이 짧아지고 stone성분을 희석시키기 때문에 urinary stone의 형성을 억제
② 식수내 무기질의 성분 및 양도 영향을 미침.
(6) 음식: 단백질, 설탕, 소금의 과다섭취, 섬유소 부족 및 저칼슘식이는 발생률을 높임.
(7) 직업: 사무직, 요리사, 기계실 작업자, 관리직에서 많이 발생하며 육체근로자에서는 적게 발생

stone 형성기전

물리 화학적 이해:

(1) 포화 및 과포화

(2)핵화 nucleation, 결정성장 crystal growth, 결정응집 crystal aggregation

(3) 결정의 축적 crystal retention

stone 형성에 영향을 미치는 요소

(1) 억제제: 피로인산염 pyrophosphate, 구연산, 마그네슘, glycosaminoglycan, Tamm-Horsfall glycoprotein, nephrocalcin, uropontin, urinary prothrombin fragment 1(UPTF1), uronic-acid-rich protein

(2) 복합제: 특정 결정의 이온들과 결합하여 용해됨으로써 이온의 자유이온화 활동 free ionic activity 을 감소시켜 urinary stone 형성물질의 포화도를 낮춤. 구연산과 마그네슘은 억제제인 동시에 복합체

(3) 촉진제: urinary stone에 순수한 촉진제는 드물다. 그러나 어떤 물질들은 결정형성의 특정 단계에서 촉진제로 작용하고 또 다른 단계에서는 억제제로 작용. glycosaminoglycan은 핵화를 촉진시키지만 성장이나 응집과정은 억제하고 Tamm-Horsfall glycoprotein은 응집된 상태에 따라 촉진제 또는 억제제로 작용

임상증상 및 진단

증상

(1) 요로계 팽창에 의한 acute colicky pain과 콩팥 피막의 팽창에 의한 비급경련통 noncolicky pain. 간헐적 형태.
Renal stone은 stone이 ureter로 이동하기 전까지 일반적으로 무증상이며 hematuria나 ureteral obstruction을 유발. Pain뿐 아니라 infection, sepsis, nausea/vomiting을 유발. 갑작스럽고 심한 flank pain또는 abdominal pain인 경우 urinary stone을 의심
(2) Pain 양상: ureteral stone의 경우 옆구리나 갈비척추각에 acute colicky pain이 발생하면서 obstruction의 부위에 따라 아랫배, 고환, 음낭 음부끝부분, 여성에서 음부에 통증이 방사

진단

(1) P/Ex: flank pain을 호소하는 환자에서 costovertebral angle의 knocking tenderness가 전형적인 신체검사 소견이지만 일부에서는 abdominal pain이나 testis pain을 주소로 내원하므로 이러한 환자에서 urinary stone은 감별진단에 포함되어야 함.
(2) urinaiysis: urinaiysis와 urine culture가 필수적이며, 약 15%의 환자에서 complete obstruction으로 hematuria를 보이지 않음. urine sediment test에서 cystine, uric acid, struvite결정이 확인된 경우 환자의 stone 성분을 추정
(3) radiologic findings
① KUB: urinary stone의 70-90%는 radiopaque stone이기 때문에 KUB에서 쉽게 보임. urinary stone 중에는 calcium phosphate stone이 가장 비투과성이 높고 다음으로 calcium oxalate stone, 인산마그네슘 암모늄결석, cystine stone 순. urinary stone과 감별해야 할 석회화 음영으로는 석회화된 창자간 막 lymph node, GB stone, phlebolith, 복용한 알약 등이 있음.
② IVU: KUB에서 나타난 석회화 음영이 urinary tract 내에 있는지 확인 할 수 있고 동시에 renal function 과 urinary tract의 변화를 알 수 있다. 최근 점차 CT로 대체
③ CT: noncontrast enhancement CT는 결석의 가장 좋은 영상진단법이다. 종양, 혈괴의 감별 및 stone 외 다른 통증의 원인도 진단할 수 있음.
④ Ultrasonography: 임신부, anuria 또는 CRF에서 유용

Urinary stone의 치료

치료 적응증

infection 또는 severe obstruction을 동반한 경우 즉각적인 치료가 필요. 이런 경우 주로 retrograde ureteral stent삽입이나 PCN 설치를 시행. 작은 stone이나 경미한 hydronephrosis가 동반된 경우는 수분섭취 및 진통제 복용등 보존적 치료를 시행할 수 있음.

Urinary tract에서 stone이 주로 걸리는 장소는 3곳:

(1) ureteropelvic junction
(2) ureter가 골반혈관이나 broad ligament와 교차하는부위
(3) ureterovesical junction.

expectant observation

주로 무증상이고 obstruction이 심하지 않으면서 infection이 동반되지 않은 4mm이하의 distal ureter stone인 경우 시행해볼 수 있음. 4-5mm 크기의 ureter stone은 40-50%가 자연배출되며, 6mm 이상인 경우는 5% 미만에서 자연배출. 자연배출은 대부분 증상시작 4-6주 이내에 일어남.

dissolution therapy

용해제 효과는 urinary stone의 성분, 표면적, 용해제의 양과 투입방법에 따라 다름.

extracorporeal shock wave lithotripsy; ESWL

renal stone 및 proximal 및 distal ureter stone은 ESWL로 치료할 수 있음. 임신한 여성의 경우 ESWL은 시행하면 안된다. Inferior calyceal stone의 경우 renal stone들 중에서 ESWL 을 사용한 제거율이 가장 낮음. 부서진 urinary stone 조각은 대개 2주 이내 배출되며 치료 시작 3개월 후에 ESWL 성공여부를 판정하는 경우가 많음.

ureteroscopic stone extraction

distal ureter stone제거에 매우 효과적으로 완전제거율이 66-100%에 이르며 성공률은 stone의 크기, 위치, 매복시간, 후복막 수술병력, 수술자 경험에 따라 다름.

percutaneous nephrolithotomy (PNL)

크기가 1.5cm 이상인 renal stone과 proximal ureter stone이나 ESWL에 반응하지 않는 경우, infundibulum이 좁거나 Inferior calyceal stone에 좋은 치료법

RIRS (retrograde intra renal surgery)

연성 요관경을 이용한 신장결석 치료 방법으로 필요시 시행 할 수 있다.

Urinary stone의 예방

Urinary stone은 1년에 7%씩 재발하며 10년이내에 평균 약 50%환자에서 재발

대사검사:

대사장애에 대한 검사는 urinary stone이 제거된 후 약 1개월 후에 시행

(1) 재발이 아닌 urinary stone 환자에 대한 검사

단순대사검사 simplified evaluation를 시행. 그러나 재발이 아닌 경우라도 가족력이 있는 경우, 소아결석환자, bone이나 intestine에 병이 있는 경우, gout 환자, chronic UTI, nephrocalcinosis이 있는 환자에서는 정밀대사검사extensive evaluation를 시행

  • 단순대사검사 항목: 병력청취, stone 성분 분석, 기본 화학검사, urinaiysis와 urine culture, KUB가 포함

(2) recurrent urinary stone 환자에 대한 검사:

정밀대사검사로 3차례 외래 검사를 시행.

① Base line 검사: 평상식이 상태에서 병력청취, Blood calcium, 24hr urinaiysis (요량, pH, 칼슘, 옥살산, 요산, 인산, 구연산, 마그네슘, 나트륨 등)를 측정

② 식이제한: 1주일 후 두 번째 검사를 시행하는데, 24hr urinaiysis 를 다시 측정 후 7일간의 칼슘 (400mg/day), 나트륨(100meq/day), 옥살산제한식을 권장

③ Calcium loading: 7일간의 제한식 후 Blood calcium, parathyroid hormone, 24hr urinaiysis 및 공복시와 calcium loading 시 calcium 배설량을 검사

임산부의 urinary stone

원인

uterus가 커지면서 ureter 의 mechanical obstruction을 일으키고, 임신 중 호르몬 변화로 ureter의 peristalsis가 감소하게 되며 요중에 calcium이 많이 나와 urinary stone이 생길 수 있음. 그러나 임신시 urinary stone의 발병율은 비임신시와 같음.

진단

임신초기에는 방사선조사를 피하기 위하여 US로 진단, 임신말기에는 제한된 방사선촬영을 시행

치료

염증이 동반될 경우에는 방광경을 통하여 최소한의 방사선조사나 초음파가이드로 double-J stent를 삽입하거나, PCN을 시행하여 소변이 잘 배설되게 하면서 출산때까지 기다리는 것이 보통

Pediatric urinary stone

원인

pediatric urinary stone은 음식물과 수분섭취, 기후 같은 외적인 요인보다는 유전, 나이, 성별같은 내적인 요인이 더 크게 작용하여 발생. 그리고 성인보다 재발의 위험이 높음. 따라서 hereditary renal tubular acidosis 같은 효소 결핍병에 대한 세심한 검사가 필요하며 urinary stone을 제거한 후에도 철저한 대사검사가 필요

증상

전형적인 급통증을 나타내는 경우는 거의 없고, 환자의 70%에서 UTI을 검사하는 중에 발견

치료

pediatric urinary stone에 대한 치료 적응증은 성인에서와 동일. ESWL시 소아에서는 성인과 달리 마취가 필요한 경우가 많고 충격파의 강도를 성인보다 적게 하는 것이 조직손상을 예방할 수 있음.

Urinary stone 치료의 실례

응급실에서 urinary stone으로 진단된 환자는 대부분 향후 치료에 대해 주치의에게 문의하게 된다. 따라서 urinary stone 치료에 대한 기본 개념이 없다면 환자의 신뢰를 얻을 수 없다. 그러므로 urinary stone치료의 실례에 대해 살펴볼 필요가 있다,

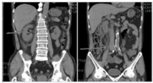
Renal stone (ESWL)

1.5cm 미만이면서 임신 가능성이 없고 출혈성경향이 없어야 하며 distal ureter나 UPJ obstruction이 없어야 한다. 최근에는 nonenhanced CT가 진단적 도구로 많이 활용되므로 warfarin 등을 복용하지 않는 환자에서 aortic dissection이 없다는 것을 image에서 알 수 있다. 이러한 환자에서는 distal ureter stone이 없다는 전제하에 renal stone에 대한 ESWL을 시행할 수 있다. 사진은 renal stone에 대한 ESWL 후 추적관찰에서 파쇄된 stone들이 proximal, distal ureter로 이동하는 모습을 보여준다.

<figure-inline>전공의핸드북 그림1.png</figure-inline>

Renal stone (PCNL)

1.5 cm 이상의 renal stone이거나, inferior calyceal stone인 경우, Hounsfield scale (unit) >1,000 이상일 경우, 해부학적으로 stone보다 distal ureter stricture 또는 obstruction이 증명된 경우에는 ESWL보다 PCNL이 추천된다.

<figure-inline>전공의핸드북 그림2.png</figure-inline>

Ureter stone (ESWL)

일반적으로 proximal ureter stone이면서 KUB에 잘 보이는 stone는 ESWL을 먼저 시행해 볼 수 있다. ESWL은 마취를 하지 않고 시행하며, proximal ureter stone에서 ureterosope을 이용하여 쇄석술 시행시 stone이 상부로 이동하는 경우가 있으므로 X-ray에 잘 보이는 proximal ureter stone경우 ESWL 더 추천된다 (ESWL의 성공율 90%). 단, proximal ureter stone이라도 1 cm 보다 큰 경우에는 ESWL (성공율 68%)보다 URSL (성공율 79%)이 더 선호된다 (2007 AUA guideline, 2009 EAU guideline 참조). 특히 남성에서, proximal ureter stone 의 크기가 1cm 이상일 때, 최근 laparoscopic ureterolithotomy 이 더 효과적일 수 있다 (ESWL에 대한 내용은 외래 술기 편을 참고).

<figure-inline>전공의핸드북 그림3.png</figure-inline>

Ureter stone (URSL)

mid 및 distal ureter stone은 크기에 관계없이 URSL이 ESWL 보다 성공율이 더 높아 단기간 추적관찰에서 stone이 배출되지 않을 경우 수술적 치료가 선호된다.

<figure-inline>전공의핸드북 그림4.png</figure-inline>

비전형적 urinary stone 예시 및 주의사항

nonenhanced CT은 urinary stone의 가장 정확한 진단법이다.

그러나 urothelial cancer를 발견하는데에는 무리가 있다. 중년 이상의 남성에서 nonenhanced CT에서 ureter stone이 진단되었으나 크기가 작을 경우 단기간 추적관찰을 해 볼 수 있는데, stone이 배출되지 않거나, ureter stone이 강하게 의심되지만 nonenhanced CT에서 ureter stone이 보이지 않고 검사상 hematuria가 지속되는 경우에는 진단적 수술이 필요하다.

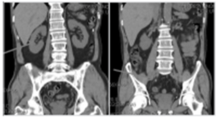
예시 1) 58세 남성, Rt. flank pain 및 UA상 hematuria로 응급실 내원

사진설명: nonenhanced CT에서 Rt. hydronephrosis및 proximal ureter stone이 보임.

<figure-inline>전공의핸드북 그림5.png</figure-inline>

환자는 진통제 투여 후 통증이 호전되어 외래에서 추적관찰을 하기로 함.

<figure-inline>전공의핸드북 그림6.png</figure-inline>

사진설명: 2주 후 nonenhanced CT에서 Rt. hydronephrosis 소실 소견이 보이지만 Rt. mid-ureter에 stone이 지속되고 있음.

<figure-inline>전공의핸드북 그림7.png</figure-inline>

진단 및 치료적 ureteroscopy을 시행하기로 함.

좌측 사진은 상기 환자의 Rt. ureteral orifice에 urothelial neoplasm이 있는 사진이고 우측 사진은 이를 제거하고 ureteroscopy를 시행하였을 때 보이는 ureter내 urothelial neoplasm의 모습이다.

예시 2) 54세 남자환자, Rt. flank pain, hematuria를 주소로 응급실 내원

사진설명: 좌측 사진은 전형적인 ureter stone 소견이다.

URSL 시행당시 요관벽의 부종 및 염증 소견이 보인다. 조직검사상 urotheilal carcinoma (TCC high grade) 소견이 보였고 washing cytology에서 비정상세포의 모습이 보였다.

<figure-inline>전공의핸드북 그림8.png</figure-inline>

Urinary stone ER note

· C.C: onset, recent onset, pain nature, radiation, attack Hx.

· P.I: 환자 평소 (과거력 있던 자, 건강했던 자)로 부터 (갑자기, 서서히) develop된 (어느 부위) pain을 주소로 본원 ER내원.

· PMHx: Hepatitis/HTN/DM/Tbc ( /// ) OP Hx Stone Hx ( )

· ROS: A/N/V/C/D ( //// ), F/C ( / )

· urinary Sx: frequency (1번/ 시간), nocturia ( 번/1 night)

· dysuria (-/+), tenesmus (-/+), hematuria (-/+), weak stream (-/+), decreased urine volume (-/+) 그외 특이 Sx:

· P/Ex: Vital (fever), Mental, General condition Head & Neck: anemic, icteric, soft neck Chest: Heart, lung sound

Abdomen: Bowel Sound, abd scar,

abd T/RT ( /) appendicitis 와의 감별에 유의, CVAT ( /)

Extrimities: pitting edema, grossly free.

· ER Order:

1. fluid 30GTT (환자 pain심하면 spamon 2@ 섞어 주세요.)

2. routine Lab. (CBC, B/Cr, elctrolyte, U/A with microscopy )

3. routine X-ray (Chest PA, KUB, erect Abd.)

4. prn Lab. (if fever>37.8 → urine GS, urine culture, urine AFB)

5. prn inj. (if pain → Tarasyn 1@/#od IM). If, pregnant women, Demerol 25mg/IM

· Lab.:

1. X-ray: KUB- level 에서 stone 보임.

CXR- pleural effusion (-/+)

2. urine study: U/A with microscopy ( RBC: ,WBC: )

3. serum study: BUN/Cr, CBC

· Plan & recommend

1. non-enhanced CT with KUB (병원마다 다름)

2. Discharge medication 필요시 항생제 항진경제, 진통제는 섞어줄지, prn으로 할 지 결정

Acute urinary retention (AUR)

정의 및 위험인자

정의: 급작스러운 요배출의 장애

공통: 감기약 (pseudoephedrine 등), alcohol, postop retention (anesthesia), spinal injury, constipation, 전신쇠약, bladder ca. 등

남성: BPH, acute prostatitis, urinary stone (urethral stone)

여성: huge mass (myoma), pregnancy 등

<figure-inline>전공의핸드북 그림9.png</figure-inline>

그림은 좌측에서부터 BPH (bladder 내로 protruding), urethral stone, huge myoma 임. 이들 환자에서 발생한 acute urinary retention 은 그 underlying disease가 명확하므로 수술적 치료가 원칙임. 특히 BPH의 경우 노인 5대 질환중 하나로 만약 AUR이 발생했다면 BPH의 progression을 의미하므로 수술적 치료가 원칙임.

응급치료

빠른 시간 내에 catheterization을 시행 한다.

1) Foley catheter insertion as usual

2) Cystoscopic guidewire-assisted Foley catheter placement

3) Suprapubic cystostomy under local anesthesia

예후

70% 이상에서 치료 후 1주일 이내 해결, BPH에 의한 경우 대부분 재발

AUR ER note

· C.C: onset, recent onset

· P.I: 환자 평소 (과거력 있던 자, 건강했던 자)로 소변보

지 못하고 있다가 자신의 의지로 소변 볼 수 없어 이를

주소로 본원 ER내원 (Alcohol Hx, URI med Hx)

· PHx: Hepatitis/HTN/DM/Tbc (///) OP Hx

GU Hx ( 1. BPH Dx & med- 2. head, neck, back

trauma Hx & CVA Hx )

· ROS: A/N/V/C/D (////), F/ (/)

urinary Sx: frequency (1번/시간),

Nocturia ( 번/1night)

dysuria (-/+), tenesmus (-/+), hesitency (-/+),

urgency (-/+)

weak stream (-/+), decreased urine volume (-/+)

그 외 특이 Sx:

· P/Ex: Vital, Mental, General condition

Head & Neck: anemic, icteric, soft neck

Chest: Heart, lung sound

Abdomen: Bowel Sound, abd scar,

abd T/RT (/), CVAT (/)

Extrimities: pitting edema, grossly free

DRE:

· ER Order:

1. fluid none, Foley insertion & check residual urine.

2. routine Lab. (CBC, B/Cr, elctrolyte, U/A with

microscopy, KUB)

3. GU Lab. (PSA, urine GS, urine culture, urine AFB)

4. prn (if fever>37.8 → blood culture, fluid 30GTT,

AAP2T)

· Lab.:

1. check residual urine volume

2. X-ray: KUB.

3. urine study: U/A with microscopy

4. serum study: BUN/Cr, CBC, elctrolyte`

· Plan & recommend

1. D/C c medication

Foley insertion state로 퇴원 조치 할 것 (Foley

dressing 한 상태로...).

(Cravit 3T/#3, Beszyme 3T/#3, Soleton 3T/#3) *

7days

2. GU OPD F/U.

Acute scrotum

정의 및 감별진단:

정의

급성으로 온 음낭의 동통

감별진단

① testicular torsion,

② epididymitis or epididymo-orchitis

③ torsion of the appendix testis

④ torsion of appendix epdidymis

⑤ mumps orchitis

⑥ 외상

⑦ 종양

⑧ varicocele

⑨ urinary stone

⑩ testicular torsion-detorsion syndrome 등 이 중 가장 흔한 testicular torsion 과 epididymitis 을 감별하는 것이 중요. 사춘기에 발견되는 acute scrotum 환자들 중 60% 정도는 testicular torsion 에 의한 것으로, 이러한 경우 증상 발현 6-8시간 내에 수술적 교정을 해야 고환의 기능을 보전할 수 있음.

임상적 특징

Testicular torsion

spermatic cord가 꼬임으로 말미암아 testis venous plexus의 폐색이 발생하고 이로 인해 testis의 울혈이 발생하여 결과적으로 arterial blood flow의 감소가 발생하게 되어 나타나게 되는 일련의 증상이다. 모든 소아환자의 25-30% 정도를 차지. 사춘기 acute scrotum의 경우 50-60%에서 해당. 이학적 검사상 거상된 고환이 관찰되고 cremasteric reflex가 나타나지 않으며 Prehn’s sign (ER note 참조)에서 음성소견이 관찰. Color doppler US에서 고환내 혈류가 없는 것으로 확진

<figure-inline>전공의핸드북 그림10.png</figure-inline>

좌측 그림은 좌측 고환의 혈류가 보이지 않음을 나타내고, 가운데 그림은 좌측 고환이 초막내 꼬여있음을 나타내는 영상임. 우측 그림에서 보듯, 수술 중 좌측 고환의 꼬임이 명확히 보이고 있으며, 정상에 비해 색변화가 뚜렷히 나타난다.

만약 acute scrotum으로 응급실을 내원한 환자에서 color doppler US 결과 고환 내부에 특이소견이 관찰되지 않고, 고환통은 있으나 고환압통은 없는 경우 urinary stone을 감별해야 하며, urinary stone이 배제된 경우에 한해서 이러한 증상이 1년에 수차례 반복될 때, testicular torsion-detorsion syndrome 또는 intermittent torsion and detorsion을 의심해야 한다. US에서는 오히려 혈류증가된 소견이 보일 수도 있고 경색된 부분과 혈류가 증가된 소견이 함께 보일 수도 있다. 이런 증상의 반복은 고환실질의 만성적 손상을 줄 수 있으므로 orchiopexy가 권고된다.

Epididymitis or Epididymo-orchitis

사춘기 acute scrotum의 20% 정도를 차지. 사춘기 이전 소아의 1% 미만에서 발생. 이학적 검사상 epididymis가 커져 있으며 심한 압통을 호소하고 cremasteric reflex와 Prehn sign이 확인됨. Color doppler US 에서 epididymis내 혈류가 매우 증대된 소견이 보임.

<figure-inline>전공의핸드북 그림11.png</figure-inline>

testis 및 epididymis의 혈류가 매우 증가된 소견이 보인다.

Torsion of the appendix testis or appendix epdidymis

극도로 드물게 관찰되는 경우로 임상적으로 큰 의미는 알려져있지 않지만 수술적 치료가 필요하다.

<figure-inline>전공의핸드북 그림12.png</figure-inline>

영상은 testicular upper pole의 appendix torsion을 나타내는 소견임. 환자는 통증이 있지만 신체검사에서 고환 압통 이외에 특이소견이 없을 수 있다.

치료

1) Testicular torsion: 즉각적인 수술적 교정이 필요. 수술을 시행하기 전에 일시적으로 허혈 및 통증의 완화를 위해 manual detorsion을 시행할 수 있음. 일반적으로 환측 고환을 몸 바깥쪽으로 360°회전시킨다. 수술적 교정은 음낭정중앙 절개를 통해 꼬인 정삭을 풀어준 후 반대측 고환의 orchiopexy 를 시행. 이 후 대략 30분 후에 환측 고환이 회복되면 orchiopexy를, 회복되지 않으면 orchiectomy를 시행하게 됨.

2) Epididymitis or Epididymo-orchitis: 급성기의 경우 3-4일간 안정을 취하며 적절한 항생제 투여를 시행. 국소 발열이 있는 경우 환부에 냉습포를 적용하는 것이 도움이 되고 음낭을 거상하 였을 때 통증이 경감될 수 있음.

Acute scrotum ER noste

· C.C: onset, recent onset, pain nature, radiation,

attack Hx, NPO time

· P.I: 환자 평소 (STD의 과거력 있던 자, dirty sexual

contact history있던 자, trauma Hx 있던 자, 건강했던 자)

로 부터 갑자기 develop된 pain을 주소로 본원 ER내원

· PHx: Hepatitis/HTN/DM/Tbc (///)

OP Hx

STD, dirty sexual contact history Hx, Trauma Hx

· ROS: A/N/V/C/D (////), F/C (/)

urinary Sx: dysuria (-/+), tenesmus (-/+),

scrotal pain

· P/Ex: Vital, Mental, General condition

Head & Neck: anemic, icteric, soft neck

Chest: Heart, lung sound

Abdomen: Bowel Sound, abd scar,

abd T/RT (/), CVAT (/)

Extrimities: pitting edema, grossly free

Scrotal examination: tenderness, swelling, mass

palpable testis, palpable epididymis

· Prehn’s sign

Prehn's sign (+): elevation and support of the scrotum will

relieve the pain in epididymo-orchitis, but not in torsion of the testicle.

· ER Order:

1. fluid 10GTT (20UGTT:아이)

(환자 fever심하면 30GTT, 60UGTT: 아이)

· ER Order:

1. fluid 10GTT (20UGTT:아이)

(환자 fever심하면 30GTT, 60UGTT: 아이)

2. routine Lab.(CBC, U/A c m, U/GS, U/Culture)

3. prn inj. (if pain → Tarasyn 1@/#od IM

· Lab.:

1. urine study: U/A with microscopy

2. serum study: BUN/Cr, CBC, electrolyte

· Plan & recommend

1. 입원장 줄 것.

2. 바로 scrotal sono (Color doppler)

①. Plan: if epididymitis

3. IV antibiotics start

4. scrotal elevation & cold bag.

5. prn inj. (1% lidocain 20cc를 고환 상부 정계에 주입 한다.)

6. 만일 증상이 심각하지 않거나, 환자가 자의 퇴원 시엔

D/C c medication

(Cravit 3T/#3, Beszyme 3T/#3, Soleton 3T/#3) * 7일

GU OPD F/U

②. Plan: if scortal torsion

3. Manual detorsion (Rt:시계 반대방향으로,

Lt:시계 방향으로 풀어준다. → 외회전방향)

4. Emergency Pre-op Lab, 필요시 shaving

5. 마취과 연락.

6. Get Op permission.

③. Plan: if testicular rupture

3. Emergency Pre-op Lab, shaving

4. 마취과 연락

5. Get Op permission

# epididymitis와 torsion 감별 위해 필요하면 testicular scan

(핵의학검사)을 시행할 수 있다 (요즘 거의 시행 안함.).

# testicular scan : Tc-99m pertechnetate 30 mCi

# interpretation: torsion=cold defect epididymo-orchitis=hot spot trauma=hot or cold

Trauma(Kidney, Ureter, Bladder, Urethral injury, Testis injury, Penile fracture)

Renal injury:

renal injury의 형태는 둔상 (blunt trauma)과 관통상 (penetrating trauma)로 나뉨. 대부분 (96%)은 둔상. 원인으로는 교통사고, 추락, 타박 등. 남녀의 비는 약 3:1이며 65.1%에서 다른 장기도 함께 손상되는데 이 중 골절 (늑골, 척추, 상하지 등)이 60.3%로 가장 많고, 이어서 복강 내 장기손상, 두부손상 순

증상

Hematuria가 가장 흔한 증상 (90.1%). hematuria의 정도와 손상의 정도가 일치하는 것은 아님. 측복부 혹은 상복부에 동통이나 압통. 복부팽만, 장폐색증, 오심, 구토 등이 동반되기도 함. 심한 출혈이 있으면 허혈성 쇽도 생기지만, 손상 자체로도 쇽 증상이 나타날 수 있음.

  • Hematuria가 나타나지 않는 renal injury의 대표적인 2가지
① renal pedicle injury
② UPJ avulsion 시 혈괴 (clot)로 complete UPJ obstruction이 발생한 경우

진단

(1) renal injury 시 CT를 시행해야 하는 적응증

① all blunt trauma with gross hematuria
② microscopic hematuria with shock state
③ penetrating injury with any degree of hematuria
④ pediatric patients sustaining blunt renal trauma.
⑤ decelerating injury with any degree of hematuria
⑥ 타장기 손상 의심 시

(2) CT에서 major injury를 암시하는 소견:

① medial hematoma는 vascular injury를 의심
② medial urinary extravasation는 renal pelvis나 UPJ의 avulsion injury를 의심
③ lack of enhancement of renal cortex는 arterial injury를 의심

손상의 grade

Grade I:

가. contusion or non-expanding subcapsular hematoma

나. No laceration

Grade II:

가. Non-expanding peri-renal hematoma

나. Cortical laceration < 1cm deep without extravasation

Grade III: Cortical laceration > 1cm without urinary extravasation

Grade VI:

가. Laceration: through corticomedullary junction into collecting system

나. Vascular: segmental renal artery or vein injury with contained hematoma, or partial vessel laceration, or vessel thrombosis

Grade V:

가. Laceration: shattered kidney

나. Vascular: renal pedicle or avulsion, thromboembolism

<figure-inline>전공의핸드북 그림13.png</figure-inline>

그림의 환자는 우측 lower pole의 shattered injury를 받았으나 생체활력징후가 양호하고 연령이 어려서 집중관찰한 경우이다. 우측 사진은 동일 환자에서 1개월 후 CT사진이다(Grade V).

<figure-inline>전공의핸드북 그림14.png</figure-inline>

그림의 환자는 pedicle손상을 받고 acute bleeding이 있는 경우로 수혈에도 불구하고 생체활력징후가 불량하여 응급 nephrectomy 를 시행한 경우이다 (Grade V).

따라서 같은 Grade의 손상이라고 하더라도 생체활력징후의 변화가 중요하며, 손상의 위치 또한 중요하겠다.

치료

경증 손상은 안정, 항생제 및 수액요법 등의 보존적 치료만으로도 대부분 치유된다.

(1) Renal injury시 수술적 치료의 절대적 적응증 (absolute indication):

① persistent renal bleeding
② expanding perirenal hematoma
③ pulsatile perirenal hematoma

(2) Renal injury시 수술적 치료의 상대적 적응증 (relative indication):

① urinary extravasation
② non-viable tissue
③ arterial injury의 delayed diagnosis
④ segmental arterial injury
⑤ incomplete staging

합병증

초기 합병증 (4-6주 이내)으로는 delayed bleeding, perinephric abscess, persistent flank pain, urinoma 등. 후기 합병증으로는 고혈압, hydronephrosis, 신동정맥루 (arteriovenous fistula), urinary stone, 가성낭종(pseudocyst), renal function loss, APN 등

(1) persistent urinary extravasation (Grade Ⅳ/Ⅴ의 경우):

① 대부분 spontaneous resolve 된다
② 지속되면 internal ureteral stent를 시행함
③ 초기부터 systemic antibiotics

(2) delayed renal bleeding:

① 대개 3주내에 멈춘다.
② ABR 및 hydration
③ 지속되면 embolization 고려

(3) 고혈압 (hypertension)의 기전:

① renal vascular injury로 main renal artery나 branch artery 중 하나가 stenosis나 occlusion됨.
② Compression of renal parenchyma with extravasated urine or blood
③ 신동정맥루로 인해 partial renal ischemia가 발생하고 renin-angiotensin 축이 자극됨.

임산부의 genitourinary trauma시 진단

우측의 생리적 hydronephrosis로 인해 손상 시에 우측 renal injury가 흔하며 US로 urinary extravasation, urinoma를 확인해야 함.

Ureteral injury

원인

Ureteral injury의 가장 흔한 원인은 radical hysterectomy와 같은 골반강 수술 중의 의인성 손상 (iatrogenic injury) 외에도 colon ca.에서의 abdomino-perineal surgery, pelvic lymphnode dissection과 같은 골반강내 수술, ureter의 기계적 조작, internal urethrotomy 중에도 손상이 일어날 수 있음. ureter에 염증, 확장, 협착, 종양 등이 있으면 더욱 쉽게 손상을 받음.

손상의 grade

Grade I: hematoma, 타박상

Grade II: 50% 미만의 절단

Grade III: 50% 이상의 절단

Grade VI: ureteral injury가 2cm 미만의 완전절단

Grade V: ureteral injury가 2cm 이상의 완전절단

증상

수술 도중에 완전 혹은 부분적으로 ureter가 결찰되면, 술 후에 38도 이상의 고열, 측복부와 하복부 동통, 때로는 오심, 구토, 장폐색 등의 증상이 일어남. ureter의 일부 손상이나 절단에 의하여 uretero-vaginal fistula 또는 uretero-cutaneous fistula 상태로 요누출이 보통 수술 10일 전후에 발생. 요누출이 복강내로 발생하면 복막자극증상이 나타나고 감염을 일으키기도 하고, ureteral obstruction으로 인하여 hydronephrosis, APN 등이 발생하기도 함.

  • Iatrogenic ureter injury 발생시 술 후 나타나는 소견

(1) immediate 한 증상은 비특이적이고 드뭄 (nonspecific fever, abdominal pain, bowel obstruction).

(2) delayed:

① vaginal urine leakage (POD #10 이내)
② anuria (bilateral injury시 특히)
③ BUN, Cr의 상승 (bilateral injury시 특히)
④ flank 혹은 loin pain
⑤ incontinence
⑥ fever
⑦ urinoma로 인해 drain fluid에서 Cr의 상승
⑧ paralytic ileus

진단

우선 IVP로 손상받은 쪽의 non-visualized kideney,hydronephrosis, ureteral dilatation, dye 유출 등을 관찰할 수 있음. 때로는 ureteral obstruction이나 요 유출의 정확한 부위를 알기 위해 RGP가 필요할 때가 있다. 이때 vesicovaginal fistula 등의 bladder의 이상도 함께 확인할 수 있다. Indigo carmine을 정맥주사하거나 bladder내로 주입 해보면 ureterovaginal fistula와 vesicovaginal fistula 를 감별할 수 있음.

<figure-inline>전공의핸드북 그림15.png</figure-inline>

사진은 부인과적 수술을 시행하고 지속적으로 Rt. flank pain을 호소하는 환자에서 시행한 IVP 이다. IVP소견상 하부 ureter의 손상을 의심할 수 있다. 사진은 조영제 주입 후 30분 이상 경과한 것으로 좌측 신장을 통한 조영제는 이미 방광으로 배설되어 있으나 우측 신장은 hydronephrosis를 보이고 있고 조영제는 distal ureter까지 조영되고 있다. 만약 손상된 쪽의 kidney-ureter가 조영되지 않는 경우 retrograde pyelogram을 통해 손상부위를 파악할 수 있다.

치료

ureteral injury치료 방법은 손상의 정도, 부위, 발견시기, 동반손상의 유무 등을 잘 고려하여 결정. ureter에 작은 perforation이나 laceration이 있지만 소변누출이 경미한 경우는 자연치유될 수도 있음. ureter의 일부가 손상된 경우 내비뇨기과적인 방법으로 ureteral stent나 PCN을 우선 시행하기도 함. 심한 경우에는 수술적 치료가 필요함. 수술 중 발견된 경우는 즉시 교정해주는 것이 원칙이며, 수술 후 발견된 경우에도 7-10일 안에 발견되고 감염이나 기타 합병증이 동반되지 않고 전신상태가 양호한 경우는 즉시 수술로 교정하지만, 너무 늦게 발견되고 합병증이 동반된 경우는 ureteral stent나 PCN을 시행한 뒤 3-6개월 후에 개복교정술을 시행. 복강경 수술 당시 ureter injury를 인지하였을 때에는 복강경으로 직접 ureteral end to end anastomosis을 시행할 수 있으며, 열손상이 있을 경우에는 손상범위를 제거한 후 문합을 시행해야 한다. 이때에는 ureteroscope으로 요관점막의 viability를 확인하는 것이 도움이 된다. 수술 후 수일 이상 경과하였을 경우에는 복강내 유착으로 복강경 수술이 쉽지 않다. 만약 ureteral injury의 길이가 4cm 미만이라면 ureteral end to end anastomosis이 추천되고 잘린 길이가 길고, 잘린 요관의 아랫쪽 부분이 가용하지 않을 경우 위치에 따라 ureteral reimplantation, Boari’s flap 등을 시행해 볼수 있지만 그 길이가 10-12cm 이상 이라면 transuretero-ureterostomy가 필요할 수 있다.

<figure-inline>전공의핸드북 그림16.png</figure-inline>

좌측 사진은 수술중 복강경으로 uretero-ureterosotmy 시행한 경우이고, 우측 사진은 개복하 transuretero-ureterostomy 시행한 경우이다. 수술중 삽입한 ureteral stent는 3-6주 후 제거하는 것을 권고한다.

합병증

ureteral stricture, hydronephrosis, retroperitoneal urinoma, APN, uretero-cutaneous fistula 등

Bladder injury

방광이 충만된 상태에서는 치골 위 하복부 쪽으로 팽창되고 방광벽도 얇아져 하복부에 충격이 직접 가해지면 쉽게 손상을 받게 됨. Pelvic bone fracture가 생기면 골 조각에 의해 방광이 손상되기도 함. Bladder injury 는 복강내 파열 (intraperitoneal rupture)과 복강외 파열 (extraperitoneal rupture) 그리고 이 두가지가 동시에 발생하는 형으로 나눌 수 있음.

증상

대부분 배뇨곤란을 보이며, 간혹 배뇨를 하는 경우 육안적 혈뇨가 나오기도 함. 급성 복통의 증상은 복막내 방광 파열을 시사. 하복부에 종괴가 만져지면 일반적으로 골반혈종을 생각해 볼 수 있음.

진단

역행성 방광조영술 (cystogram)을 시행. 복막내 파열의 경우에는 복강내로 조영제가 유출되어 내장 만곡선(outlining loops of bowel)이 보이게 되고, 복막외 파열의 경우에는 골반강 내에 조영제가 보이게 됨.

치료

(1) 복막외 파열 (Extraperiteoneal rupture)

일주일간의 urethral catheterization으로 치유되나 심한 extraperitoneal rupture의 경우에는 수술적 교정이 필요할 수도 있음.

(2) 복막내 파열 (Intraperitoneal rupture)

수술적 교정이 필요로 하고 이때 복강내 유출된 소변의 제거와 동반손상의 유무 확인이 필요. 복막 안으로 유출된 소변은 복막자극증상을 일으키고, 감염이 되면 acute peritonitis를 유발하므로 파열의 크기정도와 관계없이 개복술이나 복강경하 방광의 primary repair를 시행. 통상 urethral catheter나 cystostomy는 7-10일(혹은 2주) cystogram시행 후 요누출이 없음을 확인후 제거한다.

<figure-inline>전공의핸드북 그림17.png</figure-inline>

좌측은 음주 후 복부타박으로 내원한 환자로 복강내로 조영제가 유출되는 소견이고, 우측은 낙상으로 인한 pelvic bone fracture 환자에서 조영제의 복강외 유출 소 견이다.

Urethral injury

Pelvic bone fracture시 urethral injury는 10%에서 동반되며 penile fracture시 urethral injury는 20-38%에서 동반된다.

전부요도손상 (anterior urethral injury)

기마성 손상 (straddle injury)에 의해 잘 발생하며 전부요도는 구부요도, 음경부요도로 분류됨.

후부요도손상 (posterior urethral injury)

pelvic bone fracture와 동반되어 잘 발생하며 후부요도는 막양부요도와 전립선요도로 구분됨.

  • posterior urethral injury 의 분류

type I-stretch injury with intact urethra

type II-partial urethral tear but some continuity remains type III-complete tear with no evidence of continuity

<figure-inline>전공의핸드북 그림18.png</figure-inline>

Urethral injury는 손상자체의 일차치료 (일차정렬술, primary realignment)보다는 이후 발생하는 urethral stricture가 더 큰 문제이다. 응급실에 urethral injury환자가 왔을 경우에는 먼저 초기 손상부위를 인지하기 위해 양압요도조영술 (urethrography)를 시행하는 것이 원칙이다. 도뇨관으로 primary realignment를 시행했다고 하더라도 추후 urethral stricture에 대해 환자에게 설명해야 한다. 치골상부천자술(cystostomy)가 추후 치료에 도움이 되므로 최초 환자 내원시 시행하는 것이 바람직하다.

사진은 urethral injury 환자에서 suprapubic cystostomy를 시행한 후 primary realignment를 실패했던 환자이다. 수상 3개월 후 치골상부도뇨관을 통해 조영제를 주입하고, 한쪽으로는 urethrography 를 시행하였다.

손상부위는 막양부요도 (membranous urethra)로 생각이 되었고, 이어서 치골상부도뇨관을 제거하여 그 자리로 직경이 가는 sound 등을 삽입하여 손상된 요도의 길이를 가늠해 볼 수 있었다. Sound를 삽입하는 대신 voiding cystogram을 이용할 수도있다.

증상

meatal bleeding, voiding dysfunction, bladder distension, anterior urethral injury 시 회음부에 pain, edema, subcutaneous bleeding을 확인할 수 있음.

진단

요도에 카테터를 삽입하여서는 안되고 역행성요도조영술 (retrograde urethrogram)을 시행하여 urethral injury 부위와 정도를 먼저 확인

치료

가능하면 primary realignment 시행하도록 하며, urethrocystoscope을 이용하면 도움이 된다. 만약 primary realignment에 어려움이 있을 경우 cystostomy를 시행하고 이곳을 이용하여 직경이 가는 내시경을 방광내로 넣어 유도철선 (guide wire)을 방광목 (bladder neck)을 통해 요도로 삽입하여 다시 urethrocystoscope으로 그 유도철선을 찾는 방법도 있고, 2개의 내시경장치를 이용하여 한쪽 내시경은 요도를 통해 손상부위로 접근하고 다른 하나의 내시경 (flexible scope 또는 ureteroscope)은 방광을 통해 전립선부요도로 접근하여 한쪽의 조명을 찾아가는 이른바“cut to the light”의 방법으로 primary realignment 를 시행하는 방법도 있다.

합병증

(1) anterior urethral injury: urethral stricutre외 erectile dysfunction과 incontinence는 잘 발생하지 않음.

(2) posterior urethral injury: urethral stricutre외 erectile dysfunction과 incontinence의 발생이 가능

Testis injury

Testis의 둔상에 의한 testis의 contusion 또는 rupture.

증상 및 신체검사

testis의 심한 통증, nausea/vomiting 종종 동반. Testis 주위를 둘러싼 hematoma로 tesitis의 경계가 잘 만져지지 않을 수도 있음. 하복부 압통도 관찰됨.

진단

Ultrasonography

치료

sono 상 testis capsule이 정상이고 hematoma 등이 심하지 않으면 conservative care를 할 수 있으나 sono상 rupture가 모호하거나 확진될 시 surgical epair (되도록 testis를 보존하도록 수술, 여의치 않으면 orchiectomy).

수술 후 antisperm antibody에 의한 infertility의 가능성에 대해서도 설명. Orchiectomy 시에는 성인이 된 뒤 원하면 artificial testis insertion를 시행할 수도 있다는 것을 설명한다.

Kidney, Bladder, Urethra, Testis injury의 ER note

· C.C: onset, pain nature, attack Hx, NPO time:

· P.I: 환자 평소 (CVA Hx 있던자, 건강했던 자)로

(trauma mechanism) 를 하다가 상기 Sx

develop되어 주소로 본원 ER내원

· PHx: Hepatitis/HTN/DM/Tbc (///)

OP Hx ( )

CVA HX, Dementia Hx, NP Hx, Trauma Hx

· SHx: Pt’s job ( )

· ROS: A/N/V/C/D (////), F/C (/)

urinary Sx: total gross hematuria

(-/+ or meatal bleeding),

dysuria(-/+), retention

( traum 이후로 소변을 볼 수 없음. )

flank pain (-/+), lower abd pain (-/+), scrotal swelling pain (-/+)

· P/Ex: Vital, Mental, General condition

Head & Neck: anemic, icteric, soft neck

Chest: Heart, lung sound

Abdomen: Bowel Sound, abd scar,

abd T/RT(/), CVAT (/)

renal rupture시 CVAT (/)

bladder rupture시 lower abd distention (-/+)

urethral rupture시 perineum, scrotum hematoma, DRE

testis rupture 시 scrotum hematoma, tenderness

· Lab:

1. vital: BP (/), fever (‘)

2. urine study-U/A with microscopy

3. serum study-CBC, BUN/Cr, electrolyte

· Plan & recommend

1. 입원장 줄것.

2. 바로 각각의 질환에 따른 필요한 X-ray 촬영시행

1. Plan: if, Renal contusion or minor rupture

3. abd. CT & post-CT KUB

4. CBC c PLT q 6-8hrs, Vital check q 8hrs

5. Foley catheter insertion & observation.

2. Plan: if, Renal rupture

3. abd. CT & post-CT KUB

4. CBC c PLT q 2-4hrs, Vital check q 2hrs

5. Foley catheter insertion

6. 필요 시 central line 잡을 것.

7. Lab.상 필요한 계산된 blood보다 좀 더 많이 신청

8. 마취과 연락

9. Get Op & transfusion permission, shaving.

3. Plan: if Bladder rupture

3. Cystogram AP, Lat, post-drain KUB.

4. Foley catheter insertion

retroperitoneal rupture (방광이 비어진 상태에서

trauma)면 Foley catheter insertion으로 끝!

peritoneal rupture (방광이 채워진상태에서 trauma)

면 Foley catheter insertion후 emergency OP!

5. 필요 시 GS consult

6. 마취과 연락

7. Get Op permission, shaving.

4. Plan: if Urethral rupture

3. Retrograde Urethrogram (partial rupture면 Foley

catheter 넣고 2번 이상 try 하지말 것.)

4. complete rupture (or partial rupture에 Foley

catheter 안들어가면) 확인되면, suprapubic

cystostomy를 준비 시킨다. bladder filling (fluid

60GTT+ lasix 1@/od IV)

5. Get procedure permission.

6. primary realignment or suprapubic cystostomy

(local anesthesia로 가능. Pain 심하면 general

anesthesia)

7. 환자가 자의 퇴원 시엔

Discharge & medication (항생제)

Delayed OP 에 관해 설명한다.

8. OPD F/U

5. Plan: if testis rupture

3. pain control, 응급 testis ultrasonography

4. rupture 의심시 마취과 연락

5. Get Op permission, shaving.

Penile fracture

원인과 양상

음경골절은 음경이 단단히 발기되어 있는 동안 갑작스런 외부압력에 의해 음경이 구부러지다가 음경백막이 파열되는 현상을 말함. 환자는‘툭 ’하는 감각을 느낌과 함께 급작스런 음경동통을 호소하며 음경에 혈종이 생김. 대부분 여성 상위의 체위에서 음경이 치골부위에 부딪히면서 일어남.

진단

음경 초음파 검사가 도움이 되 며, 요도손상이 약 40%에서 동반될 수 있으므로 요도 손상이 의심되는 경우에는 역행성요도조영술을 시행하여 확인해야 함.

치료

응급 수술 요함 (hematoma removal, primary repair, urethroplasty)

<figure-inline>전공의핸드북 그림19.png</figure-inline>

백색막의 손상이 관찰되고 있다.

Penile fracture의 ER note

· C.C: onset, pain nature, attack Hx, NPO time

· P.I: 환자 평소 건강했던 자로 발기 상태에서 (trauma

mechanism)를 하다가 뚝 소리와 함께 상기 Sx과 음경

굴곡, 부종, 음경반상출혈, 발기소실 develop되어 본원

ER내원

· PHx: Hepatitis/HTN/DM/Tbc (///)

OP Hx ( )

penile inj Hx, med Hx

· P/Ex: Vital, Mental, General condition

Head & Neck: anemic, icteric, soft neck

Chest: Heart, lung sound

Abdomen: Bowel Sound, abd scar,

abd T/RT (/), CVAT (/)

Penile exam:

· ER Order:

1. fluid 30GTT c NPO

2. 입원장 주세요.

3. emergency OP Lab.

4. prn inj. (if pain → Tarasyn 1@/#od IM)

· Plan & recommend

5. 마취과 연락.

6. Get Op permission.

Infection

***항생제 치료법은 항생제 파트를 참고 바랍니다.***

Acute Pyelonephritis

정의

급성으로 발생하는 콩팥깔때기-콩팥잔계와 콩팥사이질의 세균감염에 의한 요로감염증

병인

대부분 방광으로부터 상행성 감염에 의한 collecting duct의 집락형성

원인균

대부분 G (-) enterococcus, E. coli, Proteus, Klebsiella, Pseudomonas 등

증상

fever, chilling, flank pain, bladder irritative symptoms

검사실검사

CBC상 wbc 증가, CRP 증가. pyuria, bacteriuria, proteinuria

위험 인자

① lower urinary tract infection이 자주 발생할 수 있는 조건 (여성은 요도가 짧고 항문에 가까우며 음순 아래에서 끝나므로 항문주위 normal flora, 성관계시 하부요로감염 발생 가능성 높음. 남성은 BPH에 의한 prostatitis, urethral obstruction)

② pregnancy: ureter의 tension, peristalsis의 감소, 커진 자궁, 나소 혈관 등에 의한 일시적인 incomplete obstruction

③ obstruction: cancer, stricture, stone, BPH

④ VUR

⑤ 유전적 요인: 세균이 부착할 수 있는 요로상피세포 수용체의 수와 종류가 어느 정 도 유전에 의해 결정됨.

치료

(1) 증상이 가벼운 경우: 경구용 항생제 7-10일 (fluoroquinolone or TM P-SM X)

(2) 감염이 심하고 합병증이 있는 경우: 입원치료, urine culture 시행, 약물에 대한 감수성 결과가 나올때까지 fluoroquinolone, aminopenicillin 및 ß-lactamase inhibitor병합, 2-3세대 cephalosporin을 IV 투여.

(3) 열 소실 24시간 후까지 항생제 주사 그 이후 경구용 항생제 2주간 복용

(4) 치료시작 2-3일 후 증상 호전 없으면 sono, CT 등 시행

(5) 치료 후 5-7일에 f/u culture, 치료종결 후 4-6주 후 culture f/u (10-30%에서 재발)

(6) 기종성신우신염 (emphysematous pyelonephritis)은 Xray, 초음파 또는 CT에서 신주위조직의 emphysema가 확인될 경우 진단 할 수 있으며 응급수술치료가 필요함.

Renal Abscess & perinephric abscess

위험인자

DM, dialysis, IV drug abuser…

병인

renal cortex abscess는 주로 혈행성, renal medulla abscess는 주로 urinary stone이나 ureteral obstruction, VUR등과 흔히 동반되며 상행성 감염

임상증상

chilling, fever, flank pain → 2주 이상 지속되는 경우가 많음. Flank mass 촉지 가능, dysuria등의 cystitis 증상을 보이기도 함.

진단

U/A에서 25%정도는 정상 소견, urine culture에서 1/3 정도, blood culture에서 50%정도에서 positive 소견 보임.

CT: Choice, US: echo-free or low echo-density spaceoccupying lesion with increased transmission

치료

(1) 3cm이하의 신농양은 IV antibiotics

(2) 48시간 이후에 치료 반응 없거나 3-5cm 크기의 농양, 3cm 이하이나 면역억제 환자에서의 경우 percutaneous drainage 시행

(3) 대부분의 5cm이상의 renal abscess, 광범위한 신실질 파괴, 심한 renal abscess가 합병된 경우에서 incisional drainage 혹은 nephrectomy 가 필요

APN. Renal abscess, perinephric abscess ER note

· C.C: onset, recent onset, dysuria, chilling, flank pain voding difficulty, AUR, NPO time

· P.I: 환자 평소( BPH or VUR or stone or STD의 과거력 있던 자,

dirty sexual contact history있던 자, 건강했던 자) 로부터 갑자기

develop된 fever, chilling, flank pain을 주소로 본원 ER내원.

· PHx: Hepatitis/HTN/DM/Tbc (///) VUR, BPH, stone, 혈액투석, 정맥약물 남용 Hx STD Hx

· ROS: A/N/V/C/D (////), Fever/Chilling (/) urinary Sx: dysuria (-/+), tenesmus (-/+), flank pain

· P/Ex: Vital, Mental, General condition Head & Neck: anemic, icteric, soft neck

Chest: Heart, lung sound

Abdomen: Bowel Sound, abd scar,

abd T/RT (/), CVA T(/)

Extrimities: pitting edema, grossly free

· ER Order:

1. fluid 10GTT (20UGTT: 소아) (환자 fever심하면 30GTT, 60UGTT:소아)

2. routine Lab.(CBC, U/A cm, U/GS, U/Culture)

3. IV antibiotics (항생제 부분 참조)

· Lab.:

1. BP, fever

2. urine study: U/A with microscopy

3. serum study: BC (BUN/Cr), CBC, ESR, CRP

· Plan: if APN

1. 입원장 줄 것.

2. 약물 치료 후에도 호전 없으면 sono, CT 등 시행

①. Plan: if renal abscess or perinephric abscess

3. 입원장 줄 것.

4. IV antibiotics start (항생제부분 참조)

5. sono or CT 시행 (CT choice)

6. percutaneous drainage 고려

Acute prostatitis

정의

prostatic gland의 심한 bacterial infection

가장 흔한 원인균

E.coli (80%)

원인

요도에서의 상행성 감염, ductal reflux가 주된 기전, 혈행성인 경우 대부분 S.aureus가 m/c

진단

midstream urine culture로 충분, DRE에서 severe tenderness, sweelling, 온열감 등의 소견으로 알 수 있음.

prostate massage는 금기! → severe pain, bacteremia 유발 가능 (urine culture만으로 원인균 알 수 있음.).

치료

conservative care (hydration, analgesics, stool softner…)+antibiotics

- voiding difficulty, AUR가 있으면 suprapubic cystostomy 시행

- EPS, urethral catheterization, cystoscope 등은 sepsis유발 가능성 때문에 일반적으로 금기

- Antibiotics: a. fluoroquinolone ; 전립선에 therapeutic level 도달, 염증 및 정상 전립선 조직을 모두 통과

b. Bactrim; 전립선조직에 농축됨, chronic prostatitis가 되는것을 예방하기 위해 급성기 치료 후 4-6주간 투여

6) Acute prostatitis ER note

· C.C: onset, recent onset, dysuria, fever/chilling,

suprapubic painvoding difficulty, AUR

· P.I: 환자 평소 (BPH or stone or STD의 과거력 있던 자,

dirty sexual contact history있던 자, 건강했던 자)로 부터

갑자기 develop된 fever, chilling, dysuria, voiding difficulty를

주소로 본원 ER내원.

· PHx: Hepatitis/HTN/DM/Tbc (///) BPH, stone, STD Hx

· ROS: A/N/V/C/D (////), Fever/Chilling (/)

urinary Sx: dysuria (-/+), tenesmu s(-/+),

flank pain (-)

· P/Ex: Vital, Mental, General condition Head & Neck:

anemic, icteric, soft neck

Chest: Heart, lung sound

Abdomen: Bowel Sound, abd scar,

abd T/RT (/), CVAT (/)

Extrimities: pitting edema, grossly free

DRE: hot/warm, rubbery, tenderness

· ER Order:

1. fluid 10GTT (20UGTT: 소아)

(환자 fever심하면 30GTT, 60UGTT: 소아)

2. routine Lab.

(CBC, U/A c m, U/GS, U/Culture), PSA

3. IV antibiotics (항생제 부분 참조), analgesics, stool softer

· Lab.:

1. BP, fever

2. urine study: U/A cm

3. serum study: BC (BUN/Cr), CBC, ESR, CRP

· Plan:

1. 입원장 줄 것.

2. voiding difficulty, AUR; suprapubic cystostomy

Fournier’s gangrene

정의

외음부 및 회음부에 발생하는 acute fulminant necrotizing fascitis

역학

F<M, 60-80세 남성 (m/c)

<figure-inline>전공의핸드북 그림20.png</figure-inline>

사진은 기저질환으로 DM을 앓고 있는 환자가 penile prosthesis를 삽입한 후 발생한 Fournier’s gangrene으로 우측은 prosthesis removal 및 pus drainage, debridement 후 호전된 사진이다.

위험인자

DM, alcoholism, leukemia, immunodeficiency, drug abuser, surgery (rare)

원인균

polymicrobial (aerobic+anaerobic)

E. coli, Klebsiella, Proteus, Staphylococcus, Streptococcus, Bacteroides가 주된 원인균

증상

- Crepitant skin, dead & discolored tissue, Fever, drowsiness, incresing genital pain & redness (erythema), Odor, tenderness, penile and scrotal swelling

진단

- P/Ex. (악취를 동반한 급속히 진행하는 vesicle를 동반한 necrotizing swelling)

치료

(1) 적극적인 debridement → initial debridement의 효과가 의심스러운 경우 24-48시간 이후 secondary debridement 시행

(2) debridement 전 충분한 IV hydration 및 항생제는 초기에 metronidazole을 포함한 삼제요법을 시행해야 함.

(3) orchiectomy는 대부분 불필요; testis는 fascia 및 scrotal blood supply와 독립된 blood supply를 가지기 때문

(4) suprapubic diversion (urethral trauma or extravasation의 경우)

(5) colostomy (colonic or rectal perforation의 경우)

예후:

- 평균 20%의 사망률

Fournier’s gangrene ER note

· C.C: onset, recent onset, crepitant skin, dysuria, fever/chilling, increasing genital pain & redness (erythema), Odor, tenderness, penile and scrotal swelling, NPO time

· P.I: 환자 평소 (DM or alcoholism or leukemia or immunodeficiency or drug abuse or foley insertiion 과 거력 있던 자, 건강했던 자) 로부터 갑자기 develop된 fever, chilling, crepitant skin, increasing genital pain & redness (erythema), 를 주소로 본원 ER내원

· PHx: Hepatitis/HTN/DM/Tbc (///) Alcoholism, BPH, drug abuser Hx

· ROS: A/N/V/C/D (////), Fever/Chilling (/) urinary Sx: dysuria (-/+), tenesmus (-/+), flank pain (/)

· P/Ex: Vital, Mental, General condition Head & Neck: anemic, icteric, soft neck

Chest: Heart, lung sound

Abdomen: Bowel Sound,

abd scar, abd T/RT (/), CVAT (/)

Ext. gentalia: crepitant skin, increasing genital pain & redness

· ER Order:

1. fluid 10GTT (환자 fever심하면 30GTT)

2. routine Lab. (CBC, U/A c m, U/GS, U/Culture), OP에 준하여 Lab. 준비

3. pelvic CT 고려

4. IV antibiotics (항생제 부분 참조), analgesics, stool softer

· Plan & recommend:

1. 입원장 줄 것.

2. debridement 준비 (마취과 연락하여 응급으로)

기타 질환

Priapism

정의

성적 자극 or 욕구 없이 음경내의 혈액 배출이 되지 않아 통증을 동반한 발기가 4시간 이상 지속되는 경우

형태

Low flow (veno-occlusive): venous occlusion으로 인한 혈액정체에 따른 저산소 증상

High flow (arterial): 손상에 의한 corporo-aterial fistula(trauma)

위험인자

prolonged sexual activity, black widow spider bite, CO poisioning, ED injection Tx.(papaverine, phentolamine), penile & perineal injury, trazodone, chlorpromazine, spinal cord trauma, tumor, sickle cell dz.(소아), Fabry dz., leukemia, malaria, coumadin, wafarin

진단

aspiration of penile blood for BGA

High flow: 선홍색의 동맥혈, 정상 pO2, pCO2, pH Low flow: 검은색의 정맥혈 pO2<30mmHg, pCO2> 60mmHg, pH<7.25

치료

냉찜질, 경한 운동 (계단오르기)

High flow: embolization, surgical ligation

Low flow: 음경 해면체 천자 및 흡입, 실패시에는 혈관수축제 음경 내 주사, Ex) Phenylephrine 100~250ug/ml, 0.5~1cc씩 5-10분 간격으로 주사. 최대 1000ug까지

Priapism ER note

· C.C: onset, pain nature, attack Hx, NPO time

· P.I: 환자 평소 (erectile dysfunction으로 penile inj 하던자, 건강했던 자)로 부터 갑자기 시작된 painful erection을 주소로 본원 ER내원

· PHx: Hepatitis/HTN/DM/Tbc (///)

OP Hx penile injection, medication (e.g. PDE5 inhibitor) Hx

· ROS: A/N/V/C/D (////), F/C (/)

urinary Sx: dysuria (-/+), tenesmus (-/+), scrotal pain ( )

· P/Ex: Vital, Mental, General condition

Head & Neck: anemic, icteric, soft neck

Chest: Heart, lung sound

Abdomen: Bowel Sound,

abd scar, abd T/RT (/), CVAT (/)

Penile exam

· ER order:

1. routine Lab. (CBC c PLT)

2. prn inj. (if pain → Tarasyn 1@/#od IM

3. penile aspiration blood ABGA

· Lab.:

1. serum study, CBC (Sickle cell anemia)

2. Penile ABGA (penile aspiration blood)

· Plan & recommend

1. ABGA결과가 (PH<7.25, pO2<30mmHg, pCO2>60mmHg → 즉, venous stasis)이면, low flow priapism으로 응급처치가 필요하다.

* 22G needle로 aspiration을 한다 (생리 식염수 세척을 해도 된다).

* Ephedrine 1@ (=40mg, 1cc) 또는 1/2@ (=20mg, 0.5cc)를 N/S 4cc에 mix 하여 penile inj한다. 이때 혈압이 오를 수 있으므로 vital을 계속 check해야한다.

2. ABGA결과가 그렇지 않다면, 고혈류성 발기 지속증 으로 응급처치는 필요 없게 된다. → OPD f/u.

3. 24-36시간 지속되거나 알파아드레날린성 작용제에 반응하지 않는 경우 shunt op

4. Discharge c med: 필요하면 항생제

5. OPD F/U. 6. 발기부전 발생 가능성에 대해 설명

Balanoposthitis

정의

glans penis와 prepuce의 염증

임상양상

posthitis는 자가치유성 국소적 피부염. 때로 감염이 귀두염 (balanitis)을 초래하고 scrotum, inguinal 까지 진행

치료

비누와 따뜻한 물로 세정, 내면을 건조하게 유지, 심하지 않으면 국소적 항생제연고 또는 경구용 항생제. 심한 경우는 비경구용 항생제. 재발이 계속되면 circumcision

Balanoposthitis ER note

· P.I: 평소 건강했던 환아로 일전부터 상기

C.C develop 되어 내원

· Ped Hx: IBWt.

Asthma, febrile seizure (/)

OP Hx ( )

· ROS: A/N/V/C/D (////), F/C (/)

urinary Sx: dysuria (-/+), tenesmus (-/+),

scrotal pain ( )

· P/Ex: Vital, Mental, General condition

Head & Neck: anemic, icteric, soft neck

Chest: Heart, lung sound

Abdomen: Bowel Sound, abd scar, abd T/RT (/), CVAT (/)

Penile exam:

· ER order:

1. fluid None

2. 비누와 따뜻한 물로 깨끗이 씻어 주거나 국소 항생제 연고를 바른다.

· Plan & recommend

Discharge c Med: 항생제 (quinolone은 금기)

주의: 퇴원 후 1-2 일간은 swelling이 더 심해질 수 있다.

Paraphimosis

정의

음경 귀두를 덮고 있는 피부를 근위부로 당겨 내렸을 때 귀두 아랫부분에 형성된 constricted ring에 의한 lymphatic drainage장애로 인한 glandular swelling

역학

16세 이상 남성의 약 1%

원인

infection (e.g. balanoposthitis), Catheterization, poor hygiene, swelling producing injury, vigorous sexual intercourse

증상

band, black tissue on the glans, retention, penile pain, erythema, swollen glans, tenderness

합병증

ischemic injury로 인한 피부나 귀두의 necrosis

치료

(1) manual manipulation (squeezing)

<figure-inline>전공의핸드북 그림21.png</figure-inline>

(2) severe case: needle puncture, constricted ring 완화를 위해 음경포피에 작은 절개 (Dorsal slit)

<figure-inline>전공의핸드북 그림22.png</figure-inline>

(3) 동반된 감염치료를 위해 antibiotics

예후 및 예방

재발방지위해 Circumcision