Emphysematous pyelonephritis
둘러보기로 이동
검색으로 이동
신장실질 및 신장 주위에 나타나는 급성 괴사성 감염이다.
1) 병인: 명확히 밝혀지지는 않았으나 DM, 요로폐색이 알려져있다.
2) 임상증상: 급성신우신염의 심한 형태이다. 전형적인 임상증상으로 발열, 측복통, 구토가 나타나며 심한 경우 폐혈증의 소견을 보인다.
3) 원인균: 대개의 경우 E. coli이다.
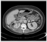
4) 방사선학적 소견: 복부 X선에서 신실질에 가스가 모여 있는 소견이 관찰 된다. 따라서 장 가스와 감별이 필요하다. 진단에 가장 도움이 되는 것은 CT이며 폐색의 유무와 배액술의 접근경로를 선택하게 하는데 도움이 된다.
5) 치료: 내과적 치료와 동반하여 percutaneous drainage 혹은 nephrectomy등 외과적 치료가 필요하다.
