Renal injury:
renal injury의 형태는 둔상 (blunt trauma)과 관통상 (penetrating trauma)로 나뉨. 대부분 (96%)은 둔상. 원인으로는 교통사고, 추락, 타박 등. 남녀의 비는 약 3:1이며 65.1%에서 다른 장기도 함께 손상되는데 이 중 골절 (늑골, 척추, 상하지 등)이 60.3%로 가장 많고, 이어서 복강 내 장기손상, 두부손상 순
증상
Hematuria가 가장 흔한 증상 (90.1%). hematuria의 정도와 손상의 정도가 일치하는 것은 아님. 측복부 혹은 상복부에 동통이나 압통. 복부팽만, 장폐색증, 오심, 구토 등이 동반되기도 함. 심한 출혈이 있으면 허혈성 쇽도 생기지만, 손상 자체로도 쇽 증상이 나타날 수 있음.
- Hematuria가 나타나지 않는 renal injury의 대표적인 2가지
- ① renal pedicle injury
- ② UPJ avulsion 시 혈괴 (clot)로 complete UPJ obstruction이 발생한 경우
진단
(1) renal injury 시 CT를 시행해야 하는 적응증
- ① all blunt trauma with gross hematuria
- ② microscopic hematuria with shock state
- ③ penetrating injury with any degree of hematuria
- ④ pediatric patients sustaining blunt renal trauma.
- ⑤ decelerating injury with any degree of hematuria
- ⑥ 타장기 손상 의심 시
(2) CT에서 major injury를 암시하는 소견:
- ① medial hematoma는 vascular injury를 의심
- ② medial urinary extravasation는 renal pelvis나 UPJ의 avulsion injury를 의심
- ③ lack of enhancement of renal cortex는 arterial injury를 의심
손상의 grade
Grade I:
가. contusion or non-expanding subcapsular hematoma
나. No laceration
Grade II:
가. Non-expanding peri-renal hematoma
나. Cortical laceration < 1cm deep without extravasation
Grade III: Cortical laceration > 1cm without urinary extravasation
Grade VI:
가. Laceration: through corticomedullary junction into collecting system
나. Vascular: segmental renal artery or vein injury with contained hematoma, or partial vessel laceration, or vessel thrombosis
Grade V:
가. Laceration: shattered kidney
나. Vascular: renal pedicle or avulsion, thromboembolism
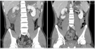
그림의 환자는 우측 lower pole의 shattered injury를 받았으나 생체활력징후가 양호하고 연령이 어려서 집중관찰한 경우이다. 우측 사진은 동일 환자에서 1개월 후 CT사진이다(Grade V).
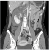
그림의 환자는 pedicle손상을 받고 acute bleeding이 있는 경우로 수혈에도 불구하고 생체활력징후가 불량하여 응급 nephrectomy 를 시행한 경우이다 (Grade V).
따라서 같은 Grade의 손상이라고 하더라도 생체활력징후의 변화가 중요하며, 손상의 위치 또한 중요하겠다.
치료
경증 손상은 안정, 항생제 및 수액요법 등의 보존적 치료만으로도 대부분 치유된다.
(1) Renal injury시 수술적 치료의 절대적 적응증 (absolute indication):
- ① persistent renal bleeding
- ② expanding perirenal hematoma
- ③ pulsatile perirenal hematoma
(2) Renal injury시 수술적 치료의 상대적 적응증 (relative indication):
- ① urinary extravasation
- ② non-viable tissue
- ③ arterial injury의 delayed diagnosis
- ④ segmental arterial injury
- ⑤ incomplete staging
합병증
초기 합병증 (4-6주 이내)으로는 delayed bleeding, perinephric abscess, persistent flank pain, urinoma 등. 후기 합병증으로는 고혈압, hydronephrosis, 신동정맥루 (arteriovenous fistula), urinary stone, 가성낭종(pseudocyst), renal function loss, APN 등
(1) persistent urinary extravasation (Grade Ⅳ/Ⅴ의 경우):
- ① 대부분 spontaneous resolve 된다
- ② 지속되면 internal ureteral stent를 시행함
- ③ 초기부터 systemic antibiotics
(2) delayed renal bleeding:
- ① 대개 3주내에 멈춘다.
- ② ABR 및 hydration
- ③ 지속되면 embolization 고려
(3) 고혈압 (hypertension)의 기전:
- ① renal vascular injury로 main renal artery나 branch artery 중 하나가 stenosis나 occlusion됨.
- ② Compression of renal parenchyma with extravasated urine or blood
- ③ 신동정맥루로 인해 partial renal ischemia가 발생하고 renin-angiotensin 축이 자극됨.
임산부의 genitourinary trauma시 진단
우측의 생리적 hydronephrosis로 인해 손상 시에 우측 renal injury가 흔하며 US로 urinary extravasation, urinoma를 확인해야 함.

