Tuberculosis
둘러보기로 이동
검색으로 이동
1) 역학: 국내 결핵의 발생은 다소 증가 하는 추세이다. 요로생식기 결핵은 폐외 결핵의 2%에 해당한다 (2,000년이후).
2) 원인: 결핵균 복합체에 의해 발생되며 초기 감염과 재활성화 단계로 나뉜다. 초기 폐감염시 25%정도가 혈행성으로 사구체를 침범하게 된다. 이후 항결핵제 투여시 다발성육아종 형태로 신장실질에 존재하게 된다. 신장결핵의 진행은 크게 조직 파괴 과정과 섬유화 및 육아종 형성의 치유과정으로 나눌 수 있는데, 신장의 기능 소실은 신실질의 파괴와 섬유화로 인한 2차적인 폐색에 의한다.
3) 진단
- (1) 병력 청취 및 증상: 초기 폐결핵 혹은 폐외결핵 병력 유무, 남성의 경우 부고환염이 동반된다. 또한 치료에 반응하지 않는 방광염의 유무. 증상은 주로 배뇨증상이며, 상치골 불편감, 혈뇨, 빈뇨 등이 나타난다.
- (2) 검사실 소견
- ① 투베르쿨린 검사 (purified protein derivative tuberculin, PPD): 약 88%에서 양성을 보이나 음성으로 나오더라도 배제 할 수는 없다.
- ② 소변검사: 무균성 농뇨가 고식적인 소견이나 20% 환자에서는 세균성 감염을 동반한다 (주로 E.coli).
- ③ Acid fast stain: 24시간 소변에서 약 60%정도가 양성소견을 보이나 위양성도 있으므로 배양검사를 시행하는 것이 좋다.
- ④ 요배양검사: 진단에 있어 가장 좋은 방법이나 완전요로폐색이 동반된 경우에는 소변을 통한 균배출 경로가 차단되므로 음성으로 나오기도 한다. 따라서 영상학적 검사 등을 통한 감별이 필요하다.
- ⑤ CBC, 전해질검사, ESR: 치료에 반응을 평가하기 위해 한 달마다 시행한다.
- ⑥ PCR: 진단의 민감도와 특이도가 높다.
- ⑦ Quantiferon test (interferon-gamma release assays):latent 결핵 감염의 진단에 도움이 되나 아직까지 요로생식기 결핵의 진단에 대한 역할은 연구가 미비하다.
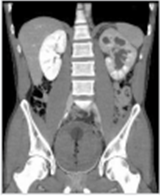
- (3) 영상검사
- ① Chest X-ray: 약 30% 정도에서 이상 소견
- ② KUB: 침범된 신장의 크기 증가, 신실질의 석회화, 10%에서 신결석의 동반
- ③ IVP: 요관의 다발성 협착, 신배의 소실
- ④ CT: 질병의 침범 정도를 아는데 도움이 되나, 초기 병변인 경우에는 진단에 제한이 있다.
4) 치료
- (1) 내과적 치료
- ① 초기치료: WHO 권고안 (2009)- 초기 2개월간 isoniazid(300mg/d), rifampin (600mg/d), pyrazinamide (25mg/kg/d), ethambutol(15mg/kg/d) 을 공복시 복용하는 4제요법과 이후 4개월간 isoniazid 와 rifampin을 투여하는 6개월간의 치료가 추천된다.
- (*부작용으로 isoniazid: 간독성, 뇌병증 ethambutol:시신경염 발생이 가능하므로 주의한다. Isoniazid에 의한 뇌병증을 예방하기 위해 vitamin B6인 pyridoxine(25mg-50mg/d)병용한다. 또한 vitamin C 1g을 1주일에 3번 4개월간 투여하는 것도 추천된다.)
- ② 재치료: 재발시에는 초기치료 했던 약제로 3개월간 연장 치료를 시행한다.
- ③ 약제 내성 결핵의 치료: isoniazid, rifampin에만 내성인 경우,
- streptomycin+prothinamide+quinolone+pyrazinamide±ethambutol로 치료한다. 모든 약제에 내성인 경우에는 주사제+quinolone+paraamino-salicylic acid나 cycloserine 혹은 prothionamide중 2가지로 6개월간 치료후 주사제를 제외한 나머지 약제로 18개월간 치료한다.
- ④ 임산부에서의 치료: 1차약제인 isoniazid, rifampin, ethambutol 3가지로 안전하게 치료 가능하다.
- (2) 수술적 치료
- ① 신절제술: 고혈압, 폐색, 신우신염등 증상이 있는 무기능신에서 시행
- ② 부고환 절제술: 항결핵제에 반응하지 않는 괴사 및 농양이 있는 경우
- ③ 요관 협착: 요관 스텐트나 혹은 재건술을 시행한다.
- ④ 방광확대술: 방광용적이 적은 경우 나 섬유화된 방광에서 시행한다.
5) 추적관찰: 약물치료 후 5년간 시행한다. 소변검사는 첫 2년간 6개월마다, 이후 3년간 해마다 시행한다. 또한 혈액검사 및 영상검사를 정기적으로 시행하여 재발 및 합병증 발생을 감시하는 것이 좋다.


